Clinical scenario:
A 45-year-old farmer, presented with complaints of fever, chills, generalized weakness associated with yellowish discoloration of sclera for 15 days.
On examination: His vitals were unremarkable, he was febrile at the time of presentation and had Jaundice. Systemic examination revealed hepatosplenomegaly.
Investigations
Hb 12 .3 gm/dl Plt 1 lakh,
Bilirubin 5.4mg/dl
SGOT/SGPT – 160/174, Alp 352, D.
An ultrasound revealed hypoechoic lesions in segment VII and VIII of the liver and also in the spleen ? Metastasis
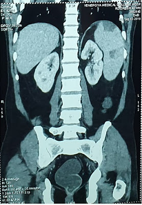
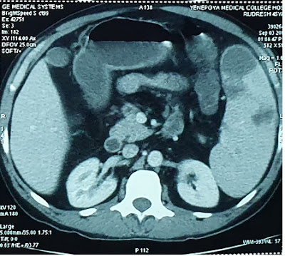
Later CECT was done which showed – hepatosplenomegaly with hypoechoic lesions in spleen s/o infarct as shown in Fig1 and Fig 2


However, a careful examination of the skin revealed an eschar Fig 3 on the right lateral aspect of the abdomen in the lumbar quadrant.

Further test showed Scrub Ig M 3.52 (positive)
Hospital course
Pt received oral doxycycline following which his symptoms improved. He was discharged and advised to follow up after a month.
Teaching message
Splenic infarcts, commonly seen in brucellosis and melioidosis, can also be seen in scrub typhus as well.
This case was contributed by
Dr.Rohit Rajeevan,
Asst.Prof,
Dept of General Medicine