Yenepoya Education News Portal
Search
Primary Menu
Skip to content
Home
About
Contact
Units
Yenepoya Dental College
Yenepoya Institute of Technology
Yenepoya Medical College
Yenepoya PU College
Yenepoya School
Yenepoya University
Search for:
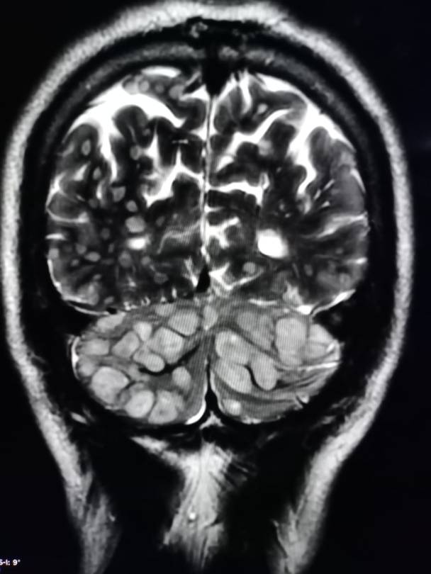
neurocystiscircosis-
October 14, 2019
864 × 1152
neurocystiscircosis-
Leave a comment
Cancel reply
Δ
Knowledge is power!
Comment
Subscribe
Subscribed
Yenepoya Education News Portal
Join 44 other subscribers
Sign me up
Already have a WordPress.com account?
Log in now.
Yenepoya Education News Portal
Subscribe
Subscribed
Sign up
Log in
Copy shortlink
Report this content
View post in Reader
Manage subscriptions
Collapse this bar