Clinical scenario : A 48 yr old male presented with h/o Fever and abdominal pain of 10 days duration On examination he was conscious oriented and had stable vitals , temp 38° C ,he had mild hepatomegaly , rest of clinical examination was unremarkable Investigation: WBC 12,0000 Liver function test normal. An ultrasound revealed Liver abscess .Patient was given Antibiotics and abscess was drained .He became a febrile and was discharged home.
Symptoms recurred after 1 month and he was admitted again .2nd admission : He had high grade fever and labs showed WBC count of 16000. Liver function tests showed normal Bilirubin , elevated alkaline phosphatase .CT scan abdomen was done which showed presence of a foreign body in the liver and residual liver abscess (Fig 1).Patient was operated and the foreign body was removed which proved to be fish bone (Fig 2) Patient became a febrile after surgery.


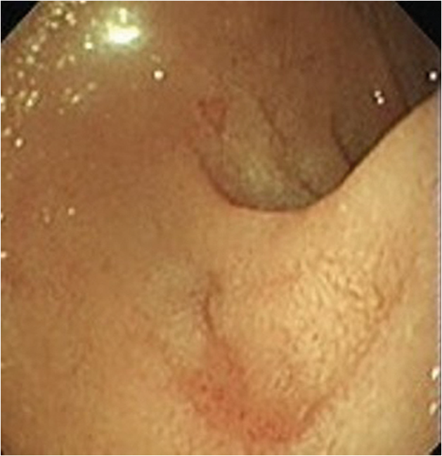
On repeated questioning patient admitted intake of fish in a restaurant 5 months prior to clinical presentation but he had forgotten the episode and didn’t link his fever to that episode. Endoscopy(Fig 3) was done to see where from fish bone had migrated to liver, it showed a healed scar in duodenum the possible site of migration to liver.
