Tag Archives: Yenepoya Medical College

Corona

Dear Friends
Sharing this article published 21 March 2020

Beating corona as a doctor

Singapore has not had a single health care related transmission of corona virus. No, they did NOT use universal N95 masks or full body protective gear for every patient contact. They did NOT use hydroxychloroquine either. Similar success story has been achieved in Honk Kong.
What can we learn from this ?

Social distancing within hospitals and clinics

Waiting room chairs 6 feet apart.
Doctor and patient 6 feet apart.
Doctors should wear surgical masks.
No role for cloth masks.

Who needs N95 masks?

The use of N95 masks, face-protectors, goggles, and gowns are reserved for procedures where respiratory secretions can be aerosolized (for example, intubating a patient for anesthesia) and for known or suspected cases of COVID-19.

If your coworker becomes unexpectedly positive, the worker and his “close” contacts will be quarantined. Who is a “close”contact?

In Hong Kong, “close contact” means fifteen minutes at a distance of less than six feet and without the use of a surgical mask; in Singapore, thirty minutes. If the exposure is shorter than the prescribed limit but within six feet for more than two minutes, workers can stay on the job if they wear a surgical mask and have twice-daily temperature checks.
What this means is it is possible to cut down transmission to nearly zero even without unproven prophylaxis even if you are a healthcare worker at high risk.
(Source: Adapted from Atul Gawande in NYT on Mar 21)

Disturbed by gas ?

Disturbed by GAS in the bowel ?
The excessive flatulence can be embarrassing and make you feel uncomfortable around others. However, it can usually be controlled with changes to your diet and lifestyle. Flatulence is a normal biological process and is something everyone experiences regularly.
Some people pass wind only a few times a day, others a lot more, but the average is said to be about 5 to 15 times a day.

Continue reading Disturbed by gas ?

OLD MAN WITH FEVER & ALTERED SENSORIUM

Clinical scenario :

A 60-year-old male presented with complaints of easy fatigability of 3 months duration .it was followed by a fever of 3 weeks duration Fever was not associated with Rigors and Chills more so in the evenings. The patient also complained of reduced appetite and weight loss-16kgs in 3 months. Before the current presentation, he developed progressive deterioration in his sensorium and vomiting. The vomiting was not bilious, not blood-tinged usually the food taken by him earlier. There was no history of cough with expectoration, no history of diarrhea, no dysphagia No history of diabetes, hypertension in the past or any other comorbidity

Continue reading OLD MAN WITH FEVER & ALTERED SENSORIUM

Use antibiotics wisely

Today about ANTIBIOTIC RESISTANCE;
It’s an emerging issue which will pose the most serious threat to all of us as many bacteria are rapidly becoming resistant to many antibiotics.
The main reason is frequent use of antibiotics without proper indication.

Continue reading Use antibiotics wisely

He was wrongly diagnosed as celiac disease

Clinical scenario:

A 32 year old, male , building contractor by occupation presented with chief complaints of -Loose stools of  8 months duration .There was history of  progressive weight loss generalised weakness and fatigue at work.

Continue reading He was wrongly diagnosed as celiac disease

He was wrongly diagnosed as chronic liver disease

Clinical scenario: A 19-year-old male was referred to our hospital with breathlessness on exertion and fatigue for 1 year and a history of gastrointestinal bleeding. Three months prior to this presentation, he had three episodes of painless hematemesis and was found to have variceal bleeding. He was transfused with four units of blood and was subjected to two sessions of variceal band ligation.

Continue reading He was wrongly diagnosed as chronic liver disease

Doc! I can not see, he suddenly cried!

Clinical scenario : A 48-year-old, obese, non-diabetic male presented to our clinic with  history of abdominal distension and generalized edema  of 1-month duration.  He denied history of fever, jaundice, breathlessness or similar history in the past.

Continue reading Doc! I can not see, he suddenly cried!

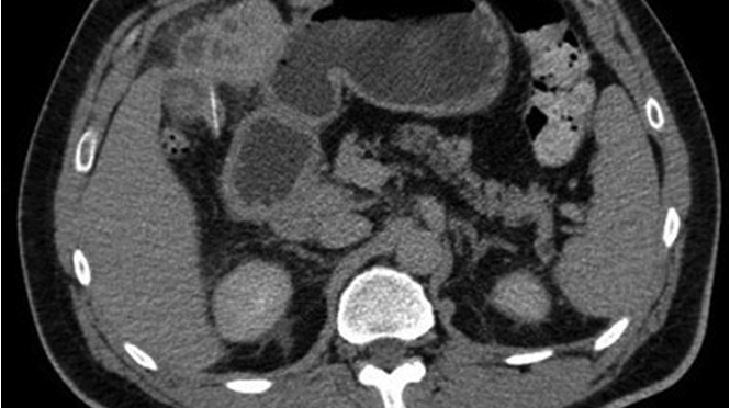
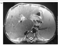
Recurrent liver abscess

Clinical scenario : A 48 yr old male  presented with h/o Fever and abdominal pain of 10 days duration  On examination he was conscious oriented  and had stable vitals , temp 38° C ,he had mild hepatomegaly , rest of clinical examination was unremarkable  Investigation: WBC 12,0000  Liver function test normal. An ultrasound revealed  Liver abscess .Patient was given  Antibiotics and abscess was drained .He became a febrile and was discharged home.

Continue reading Recurrent liver abscess

Exercise

Today we discuss about exercise, a wonderful medicine to take care of your body.

Benefits of exercise

It can reduce your risk of major illnesses, such as heart disease, stroke, type 2 diabetes and cancer by up to 50% and lower your risk of early death by up to 30%. Exercise is the miracle cure we’ve always had, but for too long we’ve neglected to take our recommended dose. Our health is now suffering as a consequence.

Continue reading Exercise

Patient instruction for UGI endoscopy

Upper GI endoscope is a tiny camera at the tip of a thin tube that transmits images to a video monitor in the exam room. It detects problems in food pipe, stomach, and duodenum. If you are suffering from unexplained abdominal pain, difficulty in swallowing or excessive fatigue, weight loss or loss of appetite. This procedure will help to know the problem

Instructions before the procedure for the patient undergoing this procedure.

Continue reading Patient instruction for UGI endoscopy