Clinical scenario: A 19-year-old male was referred to our hospital with breathlessness on exertion and fatigue for 1 year and a history of gastrointestinal bleeding. Three months prior to this presentation, he had three episodes of painless hematemesis and was found to have variceal bleeding. He was transfused with four units of blood and was subjected to two sessions of variceal band ligation.
He started having progressive abdominal distension and pedal edema a month later for which he was put on diuretics. He did not complain of jaundice or altered sensorium. He was labeled as a case of chronic liver disease in that hospital.
Examination: On examination, in our hospital he had pallor, mild icterus, no pedal edema; his blood pressure was 120/ 80 mm Hg. Abdominal examination showed hepatomegaly (3 cm below right costal margin), splenomegaly (4 cm), and shifting dullness suggestive of Ascites.
Investigations revealed hemoglobin of 6 gm/dl, total leukocyte count of 3200/mm3, platelet count of 1.75 105/mm3, and peripheral blood film showed hypochromic microcytic red blood cells.
Liver function tests revealed serum bilirubin of 5.4 mg/dl, aspartate aminotransferase of 81 IU/ml, alanine aminotransferase of 136 IU/ml, alkaline phosphatase of 164KAU/dl (cut-off 30 KAU), and serum albumin levels of 2.5 g/dl with globulins of 3.5 g/dl.
The ascitic fluid analysis was wide gradient and there was no SBP
His hepatitis B surface antigen and anti-hepatitis C virus antibodies were negative and serum ceruloplasmin level was normal (34 mg/dl); no Kayser–Fleischer ring was observed on slit-lamp examination and his autoimmune markers were negative as well.
An ultrasound revealed hepatomegaly (13.6 cm) with coarsened echotexture, all three hepatic veins were attenuated with comma-shaped collaterals; intrahepatic biliary radicals were not dilated.
He had splenomegaly and the splenic vein was 14 mm in diameter. There was moderate ascites and multiple spleno-renal collaterals were present.
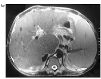
These findings were confirmed on MRI of the liver . These features were consistent with Budd Chiari Syndrome. MR venography confirmed nonvisualization of hepatic veins with patent inferior venacava (Fig. 1a and b).


Upper gastrointestinal endoscopy revealed three streaks of small esophageal varices and mild portal hypertensive gastropathy; in addition, he was found to have grooving and scalloping in the second part of the duodenum. With suspicion of Celiac disease, biopsies were taken and histological examination of the duodenal biopsy showed increased intraepithelial lymphocytes, crypt hyperplasia, and subtotal villous atrophy.
His serum IgA anti-tissue transglutaminase antibody titers were elevated (>300 units/ml, cutoff 50 units/ml) and IgA anti endomysial antibodies were detected. His serum folate level was 23 ng/ml, serum iron 27 mg/dl, total transferrin iron-binding capacity 214 mg/dl, serum ferritin 18 mg/ml, and urinary d-xylose excretion was 3.6/25 g.
His plasma homocysteine level was normal (6.07 umol/l). He was started on oral anticoagulants besides a gluten-free diet and nutritional supplements.
Ten months later, the boy had a wide smile on his face, he was feeling clinically better and had gained weight. There was no Ascites. His hemoglobin increased to 12 gm/dl and his total leukocyte and platelet count increased as well. His liver functions also improved with serum albumin of 3.4 g/dl.
