Clinical scenario:
A 32 year old, male , building contractor by occupation presented with chief complaints of -Loose stools of 8 months duration .There was history of progressive weight loss generalised weakness and fatigue at work.
Loose stools: 15-20 episodes per day, voluminous, greenish in color, watery to semi-solid consistency, nocturnal episodes disturb sleep, associated with intermittent, cramp-like pain in the iliac fossa.
Significant weight loss of 40 kg from 95kg-55kg over 8 months.
He was evaluated at a tertiary care center for the same complaints 8 months ago and underwent upper GI endoscopy and duodenal biopsy and was diagnosed as coeliac disease.
Advised gluten-free diet, despite which there was persistent chronic diarrhea and fatigue requiring hospitalization once in 15 days. He was given short courses of treatment with antibiotics and electrolyte correction which would transiently improve his condition but to relapse again.
ICU admission following acute worsening in last two weeks, diagnosed as sepsis/disseminated intravascular coagulation and treated for same. Despite treatment, the condition did not improve, hence came to our hospital.
SYSTEMIC EXAMINATION:
On examination he was emaciated, dehydrated BP – 110/70 mmHg Pulse rate – 96 bpm, respiratory rate – 20 breaths/minute.
There was a loss of temporal/buccal pad of fat. moderate pallor, mild icterus was present. Bilateral pedal edema present. Per abdomen: diffuse tenderness, no guarding, no organomegaly.
Other system examinations were unremarkable.
Our clinical diagnosis: chronic diarrhea(>4weeks) with malabsorption syndrome( dyselectrolytemia,cytopenias and low albumin) with acute worsening 1: Acute exacerbation of coeliac disease( Celiac crisis), tropical sprue now presenting with an acute flare-up 2: Inflammatory bowel disease(IBD) 3: Infectious cause (HIV, Tuberculosis) 4: GI malignancy
Investigations:
Hb: 6.6 mg/dL Platelet: 9100/micro litre Psmear: normocytic normochromic anaemia Sodium: 130 mmol/L Potassium: 1.9 mmol/L Total bilirubin: 3.9 gm/dL Direct bilirubin: 3 gm/dL Albumin: 1.8 gm/dL SGOT: 27 U/L SGPT: 35 U/L Stool analysis: greenish, semi-solid, pH8, pus cells (2-4/HPF), fat globules absent, no ova/cysts/larva present, no RBCs present HIV- negative
Stool culture for pathogens – negative Peripheral smear: normocytic normochromic anemia with severe thrombocytopenia (post transfusion peripheral smear) Reports of CT abdomen done outside (10/04/19) – no significant abnormality detected.
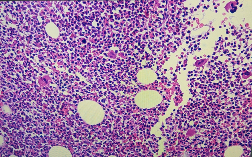
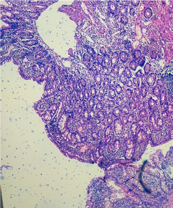
Repeat USG done at YMC-normal Bone marrow was done as had bicytopenia – to rule out the involvement of marrow by the disease process. Previously done duodenal biopsy slide was brought and subjected to 2nd opinion.Fig2
Hospital course: The Patient was admitted to the high dependency unit.Correction of dyselectrolemia. IV fluids . Empirical antibiotics. Supplementation vitamin B12, folate, B complex. Blood products – platelet transfused once and one unit of pack cells. Bone marrow was done in view of severe bicytopenia.

Upon treatment patient’s condition improved, the dyselectrolemia was corrected.bonemarrow showed features of peripheral destruction and hemophagocytosis.secondary hemophagocytosis secondary to GI pathology was considered.

Loose stools reduced. Patients duodenal biopsy review done and tropical sprue considered in view of the crypt hyperplasia, abscess hence anti-TTG was negative.
The patient was finally diagnosed as Tropical sprue and started on Doxycycline and iron, vitamin supplements. patients diarrhea resolved, appetite improved and at follow up anemia improved and weight gain present
Teaching message in the case
Though the patient was diagnosed as biopsy-proven celiac disease his condition was worsening even with a gluten-free diet and weight loss progressed which made us consider an alternative diagnosis. Considering close differentials to celiac sprue was tropical sprue as he was residing in the tropical area. Subjecting his old biopsy after discussing clinical background with pathology and sending serum antibodies showed features more favoring tropical sprue and patient symptoms significantly improved with prolonged antibiotic and nutritional supplements.
FURTHER READING CLICK THE LINK https://emedicine.medscape.com/article/182986-overview
This case was contributed by
Dr.Balachandra S Bhat,
Assistant Professor,
Dept of General Medicine,
Yenepoya Medical College Hospital.