Clinical scenario : A 48-year-old, obese, non-diabetic male presented to our clinic with history of abdominal distension and generalized edema of 1-month duration. He denied history of fever, jaundice, breathlessness or similar history in the past.
Examination: He was conscious, oriented, in time place and person .He had puffy eyes and there was generalised edema . He had normal vital signs and his oxygen saturation on room air was normal .
Abdominal examination revealed gross ascites, and no organomegaly could be demonstrated by dipping method. (Keeping in view massive ascites this method is used ) He had no ballotable kidneys and there was no bruit on auscultation ( in the renal or in liver area). He had no stigmata of chronic liver disease. His other systemic examination was normal.
Investigation: On evaluation, he had haemoglobin of 9.8 g/dl , white cell count and platelet count were normal . His blood urea was 38 g/dl (ref 26–40 mg/dl) and serum creatinine was 1.2 mg/dl (0.8–1.0 mg/dl). He had hypercholesterolaemia (408 mg/dl). His 24-h urine collection revealed 6.7 g/l proteins. Ultrasound showed gross ascites and no evidence of cirrhosis The ascetic fluid was wide gradient and no spontaneous bacterial peritonitis was found . Doppler of renal veins revealed right renal vein thrombosis extending to inferior vena cava. CT scan showed no evidence of mesenteric vascular thrombosis or bowel ischaemia. Compression ultrasound of leg veins revealed no thrombosis in leg veins. Echocardiography revealed normal ejection fraction and all valves were normal .
Hepatitis serology was negative , his antinuclear antibody and HIV serology were also negative.
Thus the cause of his generalized edema and ascites was due to kidney disease .
Management: Patient was put on low-protein, low-salt diet, tablet Enalapril 5 mg daily. Low molecular weight heparin was started in therapeutic doses keeping in view renal vein thrombosis. On day 3, of admission he called the resident on call, Doctor I can not see properly I see floating spots and flashing lights. This was followed next day by progressive unilateral loss of vision. His visual acuity ranged from 20/20 to finger counting in subsequent 3 days and he was blind in right eye.
On indirect ophthalmoscopic examination, he had retinal oedema, superfi cial haemorrhages, diffuse swelling, cotton wool spots and dilated retinal veins ( Figure 1 ).

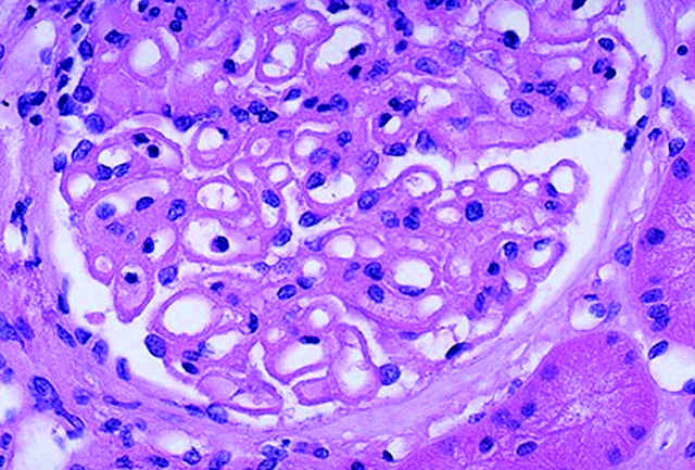
Kidney biopsy showed features of membranous glomerulnephritis .
Patient never gained vision in his right eye unfortunately .

Message : “Puffy eyes, swollen limbs and the patient says , doctor I pass frothy urine ” —friends think of Nephrotic syndrome .